🏥 임플란트 시술, 정말 안전할까?
임플란트는 치아가 상실된 부위에 인공 치근을 심어 자연치아처럼 기능을 회복하는 치료로, 심미성과 기능성을 동시에 충족해 많은 사람들이 선택하고 있습니다. 그러나 임플란트 부작용에 대한 관심과 우려 역시 꾸준히 증가하고 있습니다. 특히 신경 손상, 어금니 부위 통증, 티타늄 알레르기, 당뇨 환자의 합병증 등 다양한 문제점이 실제 사례로 나타나고 있습니다.

🦷 대표적인 임플란트 부작용 증상

1. 시술 부위 통증과 염증
임플란트 식립 후 일시적인 통증은 자연스러운 회복 과정일 수 있으나, 수주간 통증이나 부기, 출혈이 지속될 경우 염증이나 감염을 의심해봐야 합니다.
2. 신경 손상
연관 검색어에서 확인할 수 있듯, "임플란트 부작용으로 인한 신경 손상"은 대표적인 중증 부작용입니다. 특히 하악 어금니 쪽에 시술 시 하치조 신경을 건드리면 감각 저하, 저림, 통증이 지속될 수 있습니다.
3. 뼈 이식(뼈이식 임플란트)의 부작용
턱뼈가 부족한 경우 뼈 이식을 병행한 임플란트를 시행하게 되는데, 이식한 뼈가 제대로 흡수되지 않거나 이물 반응이 생기면 통증, 실패율 증가로 이어집니다.
4. 티타늄 알레르기
많은 임플란트는 티타늄 재질로 구성되어 있지만, 일부 환자는 알레르기 반응을 보일 수 있습니다. 잇몸 주위의 붉은 반점, 가려움, 이물감이 나타난다면 티타늄 부작용을 의심해봐야 합니다.
5. 당뇨 환자의 주의점
“임플란트 당뇨 부작용”은 매우 중요한 키워드입니다. 당뇨 환자는 면역력과 회복력 저하로 인해 감염 위험이 높고, 골융합이 제대로 이뤄지지 않아 임플란트 실패율이 2~3배 이상 증가할 수 있습니다.
👩⚕️ 노년층 임플란트 부작용: 왜 더 위험할까?
“노인 임플란트 부작용” 또한 검색량이 높은 키워드입니다. 골밀도 저하, 전신 질환, 약물 복용 등이 많은 노년층은 임플란트 시술 후 뼈 흡수나 고정 실패가 흔하게 발생할 수 있습니다. 따라서 시술 전 치밀한 건강 상태 체크와 정밀한 CT 진단이 필수입니다.
💉 어금니 부위 임플란트가 더 위험한 이유
“어금니 임플란트 부작용”도 자주 검색되는 항목 중 하나입니다. 어금니 부위는 저작력(씹는 힘)이 강하고 신경이 복잡한 부위라 시술 난이도가 높습니다. 잘못된 각도나 위치로 식립될 경우 통증, 저작 불균형, 턱관절 통증이 발생할 수 있습니다.
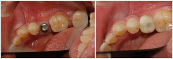
🩺임플란트 부작용 사례로 본 실질적 문제

“임플란트 부작용 사례” 검색 키워드는 실제 피해자들의 고통을 보여줍니다. 다음은 대표적인 사례입니다.
- 사례 1: 60대 여성, 하악 어금니 임플란트 후 2개월간 턱과 혀의 저림 증상 지속 → 하치조신경 손상
- 사례 2: 50대 남성, 당뇨 병력 있음 → 임플란트 후 뼈 유착 실패, 재수술 진행
- 사례 3: 40대 여성, 티타늄 알레르기 발생 → 잇몸 괴사 증상 동반, 제거 후 도자기형 재식립
😁 임플란트 부작용을 최소화하기 위한 예방법
- 정밀한 구강검진 및 3D CT 촬영
- 신경 위치, 골밀도, 치조골 상태 확인을 통해 안전한 시술 계획 수립
- 경험 많은 전문의 선택
- 특히 노인, 당뇨 환자, 티타늄 민감성 보유자는 구강악안면외과 전문의와의 상담 필수
- 사전 알레르기 테스트
- 티타늄 알레르기가 의심된다면 알레르기 패치 테스트 시행 권장
- 정기적인 사후관리와 검진
- 시술 후 6개월~1년 단위로 정기 검진 통해 주변 조직 염증, 뼈 흡수 여부 체크
- 금연과 혈당관리
- 흡연은 임플란트 실패의 주요 원인 중 하나이며, 당뇨 환자는 철저한 혈당 조절이 시술 성공률을 높임

👩⚕️ 임플란트 부작용, 정확한 정보와 선택이 중요합니다!
임플란트는 누구에게나 적용 가능한 획일적인 시술이 아닙니다. 연령, 질병 유무, 뼈 상태, 알레르기 여부 등 개인의 상황에 맞는 맞춤형 계획이 수립되어야 부작용을 최소화할 수 있습니다. 특히 위에서 언급한 연관 키워드들처럼 부작용이 발생할 가능성이 있는 조건들을 사전에 점검하고 예방한다면, 더욱 안전하고 만족스러운 결과를 기대할 수 있습니다!
임플란트 잇몸영양제 보러가기>>> https://link.coupang.com/a/cvUH3U
오스코텍 포스트플랜트 120정 임플란트 영양제 치아 잇몸, 포스트플랜트 1박스, 1개 - 비타민/건강
현재 별점 4.7점, 리뷰 120개를 가진 오스코텍 포스트플랜트 120정 임플란트 영양제 치아 잇몸, 포스트플랜트 1박스, 1개! 지금 쿠팡에서 더 저렴하고 다양한 비타민/건강식품 제품들을 확인해보세
www.coupang.com
※ 이 포스팅은 쿠팡 파트너스 활동의 일환으로 이에 따른 일정액의 수수료를 제공받습니다.
'건강' 카테고리의 다른 글
| 모공각화증이란? [모공 줄이는 방법 및 모공 축소 시술 정보까지!] (1) | 2025.05.29 |
|---|---|
| 선크림 유기자차 vs 무기자차 차이점 [선크림 고르기 어렵다면? 피부타입·활동별 선택법까지 완벽정리!] (2) | 2025.05.28 |
| 불면증 탈출하는 건강한 습관|불면증에 좋은 음식 10가지 추천! (0) | 2025.05.26 |
| 갱년기인지 폐경기인지 헷갈린다면? 증상과 차이점 정리! (2) | 2025.05.26 |
추천 콘텐츠